登入
醫學筆記匯整 ED Notes
跳到主文
個人醫學筆記匯集整理 IG : ed_notes_ 外加老婆用餐紀錄
部落格全站分類:
收藏嗜好
相簿
部落格
留言
名片
12月
15
週五
2017
22:44
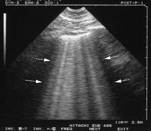
Lung echo
POCUS :
Acute lung edema
> 3 B-lines per rib space
(繼續閱讀...)
文章標籤
deanguy1205 發表在
痞客邦
留言
(0)
人氣(
1,958
)
1
個人資訊
暱稱:
deanguy1205
分類:
收藏嗜好
好友:
累積中
地區:
文章分類
CV (7)
CV - 雜 (9)
CV - Disease (7)
CV - 生理 (3)
ACS & CAD (9)
CHF (5)
Syncope (5)
HTN (7)
GI (6)
GI (8)
GI 雜 (5)
Acute abdomen (6)
Liver 肝系列 (9)
Alcohol (2)
GI bleeding (5)
Nephro (5)
Nephro - Electrolyte (17)
Nephro - Disease (8)
洗腎 (8)
Nephro 生理 + 雜 (5)
酸鹼 (4)
Chest (8)
Chest Disease 1 (13)
Chest Disease 2 (8)
Pulmonary embolism (4)
Lung cancer (3)
COPD + Asthma (5)
Ventilator (8)
Chest 雜 (1)
Airway (9)
鑑別診斷 D/D (7)
Chest (4)
CV (7)
GI (7)
內科 General (2)
Neuro (3)
GU (5)
Others (8)
Infection (7)
Infection 部位 (18)
Infection - Sepsis (4)
Infection 病原 (6)
感染科觀念 + 抗生素 (10)
Infection 特殊感染 (12)
Infection Topic (6)
Infection - Soft tissue (6)
Meta + AIR (4)
Meta - DM (14)
AIR (9)
Meta (3)
Thyroid (6)
Hema (4)
Anemia (3)
血腫 (13)
凝血 (9)
輸血 (3)
Neuro (6)
Neuro - Disease (17)
Neuro - NE (8)
Stroke (10)
Seizure (4)
Neuro - Dizziness + Vertigo (6)
Headache (7)
急診 (12)
ACLS (11)
超音波 POCUS (3)
急診 - 氣道 (6)
急救藥物泡法 (3)
Shock (2)
Wound (2)
急診雜 (1)
創傷 Trauma (12)
常見主訴 (8)
Topic (10)
ER 藥物毒物 (21)
急診骨科 (3)
婦科 (6)
急症 (3)
婦產 20 周後急症 (3)
婦產 20 周前急症 (3)
婦科 (3)
產科 (3)
婦產問診 D/D (6)
小兒 (9)
APLS (3)
小兒 (16)
小兒 GI (7)
Newborn (3)
小兒問診 D/D (4)
小兒呼吸道 (5)
Child abuse (2)
小兒藥物 (9)
小兒雜 (3)
其他科別 (3)
耳鼻喉科 ENT (8)
眼科 OPH (9)
精神科 Psy (1)
皮膚科 (4)
皮皮科 (11)
皮皮科 - 藥物 (6)
皮皮科雜 (9)
皮皮科 - 藥物不良反應 (5)
影像學 (6)
Criteria (1)
CXR (13)
CNS image (19)
Other X ray (1)
GI image (11)
C spine (2)
EKG (9)
AMI (14)
Bradycardia (1)
Electrolyte + Durg effect (5)
Block (3)
EKG basics (1)
EKG 之其他 (4)
Wide QRS tachycardia (9)
Narrow QRS tachycardia (8)
EKG case 收集 (4)
Echo (8)
Cardiac (5)
DVT (2)
Chest echo (1)
GI (5)
GYN (2)
Air way Echo (1)
Others (4)
Vessels (4)
值班 Complaint (1)
內科 (4)
PE (2)
Grading (2)
PE (7)
Procedure (3)
注射 (6)
管路 (8)
Sutrue (2)
骨科 (6)
上肢 (4)
下肢 (3)
中軸 (2)
Topic (5)
Dislocation 系列 (2)
雜 (4)
外科 (6)
CVS (11)
PS (3)
泌尿 (14)
CS (3)
NS (5)
大腸直腸 (2)
Drugs (4)
Drug (17)
雜 (8)
補給 (3)
止痛 (4)
雜 (3)
餐廳紀錄 (2)
生理 (2)
生統 (1)
未分類文章 (1)
最新文章
猴痘
Celiac trunk pseudoaneurysm
AAA (abdominal aortic aneurysm)
Fat embolism 脂肪栓塞
台灣六毒蛇
心跳停止 5H5T 口訣
CVC complication 中央靜脈導管併發症
Infective endocarditis
Intramural hematoma (IMH)
SMA thrombosis
熱門文章
(4,396)
DM - 5 Treatment - insulin
(14,107)
Defibrillator
(20,314)
Swan Ganz Catheter
(3,158)
Hyponatremia 低血鈉
(6,710)
Ileus - KUB
(16,828)
Codarone ( Amiodarone )
(28,355)
Pacemaker + ICD + TCP + CRT
(3,031)
Conscious change 1 : Overview 意識改變
(13,120)
Oxygen therapy 氧氣治療 1
(12,973)
CVC 中央靜脈導管置入
動態訂閱
文章精選
文章搜尋
誰來我家
參觀人氣
本日人氣:
累積人氣:
贊助商連結
贊助商連結
廣告