Primary amenorrhea : 該來月經沒來
- 15 歲有第二性徵但月經沒來
- 13 歲沒有第二性徵月經也沒來 )
Secondary amenorrhea : 原本有月經, 之後不來 ( > 6months )
deanguy1205 發表在 痞客邦 留言(0) 人氣(96)
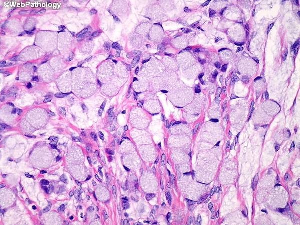
* 定義: 從 GI tract 原發的惡性腫瘤(signet ring cell, adenocarcinoma)
轉移至卵巢稱之
年輕女性居多(平均45歲)有年輕化趨勢
並不常見, 大約只占卵巢腫瘤中的 1-2%
deanguy1205 發表在 痞客邦 留言(0) 人氣(966)

1. 定義是一次月經量>80cc
2. 但是很少人會知道哈 所以可以問看看會不會有兩個小時就整片衛生棉濕掉
一個menorrhagia的病人來急診
首先要做
deanguy1205 發表在 痞客邦 留言(0) 人氣(110)